歯の健康を考える佐久間歯科医院 札幌 江別 一般歯科・小児歯科・予防歯科・審美歯科
歯の健康を考える佐久間歯科医院 札幌 江別 一般歯科・小児歯科・予防歯科・審美歯科 トップへ 歯の健康を考える佐久間歯科医院 札幌 江別 一般歯科・小児歯科・予防歯科・審美歯科 診療案内 歯の健康を考える佐久間歯科医院 札幌 江別 一般歯科・小児歯科・予防歯科・審美歯科 スタッフ紹介 歯の健康を考える佐久間歯科医院 札幌 江別 一般歯科・小児歯科・予防歯科・審美歯科 院内設備 歯の健康を考える佐久間歯科医院 札幌 江別 一般歯科・小児歯科・予防歯科・審美歯科 診療時間・MAP 歯の健康を考える佐久間歯科医院 札幌 江別 一般歯科・小児歯科・予防歯科・審美歯科
歯の健康を考える佐久間歯科医院 札幌 江別 一般歯科・小児歯科・予防歯科・審美歯科
佐久間歯科医院 江別 一般歯科
一般歯科
小児歯科
予防歯科
審美歯科
咬み合わせ治療
佐久間歯科医院 江別 一般歯科
定期健診の流れ
 
 
歯の健康を考える佐久間歯科医院 札幌 江別 小児歯科
審美歯科

審美治療
保険治療を基本としておりますが材質等の違いにより、より自然で体にやさしい治療を希望される方には保険以外の自由診療も行っております。
   
  ■メタルボンドポーセレン
  ■オールセラミックス・ハイブリッドセラミックス
  ■歯を白くする(ホワイトニング)
  ■歯肉の黒ずみ除去(ピーリング)
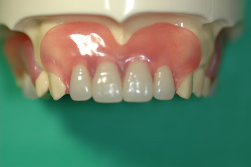
  ■金属のバネの見えない義歯(ノンクラスプデンチャー)
   
  写真をクリックすると大きな写真がご覧いただけます。
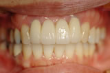
メタルボンド
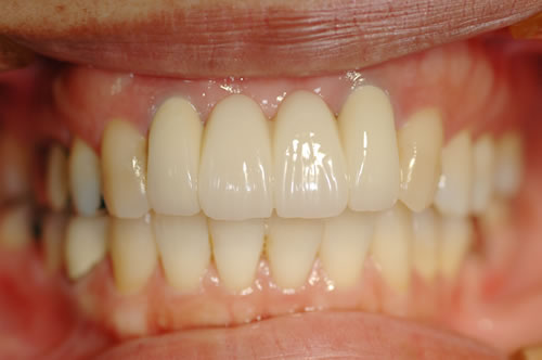
オールセラミックス
 
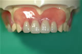
ハイブリッドセラミックス

ノンクラスプデンチャー

 

 

   

マウスガード
スポーツ用マウスガードの製作。
   
  写真をクリックすると大きな写真がご覧いただけます。
マウスガード 1
マウスガード 2
   



佐久間歯科医院 江別市大麻ひかり町34-2 TEL 011-387-4618