|
 |
 |
 |
 |
 |
 |
| |
■ |
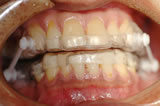
歯並び、咬み合わせの不具合が原因で、咬みしめ・くいしばり(歯ぎしり)が起こり、ときには歯の磨耗・歯がしみる・咬むと痛い・口が開きづらくなる等の症状を起こす事があります。
そのような場合、咬み合わせの調整・顎の筋肉をマッサージする器具やマウスピースなどを使用して治療します。 |
| |
■ |
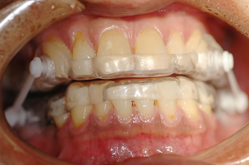
睡眠時無呼吸症の治療用マウスピース(スリープスプリント)の製作 |
|
|
| |
|
| |
写真をクリックすると大きな写真がご覧いただけます。 |
 |
| マウスピース |
|
|
|
 |
| スリープスプリント |
|
|
|
 |
| スリープスプリント装着時 |
|
|
|
| |
| |
 |
|
|
|
|
 |
 |
| 佐久間歯科医院 江別市大麻ひかり町34-2 TEL 011-387-4618 |
|
|
|